Tecnologia
La digitalizzazione in odontoiatria è un tema di grande attualità e interesse nel settore. Rapidità di intervento, alta precisione e personalizzazione delle cure sono indispensabili per un risultato di qualità.
I medici del nostro studio hanno qualificazioni complete e certificazioni necessarie per gestire qualsiasi esigenza, impiegando tecnologie all’avanguardia.
Scanner 3D

Tramite ausilio di scanner intraorale è possibile acquisire impronte in 3D e offrire contemporaneamente massima efficienza e comfort al paziente.
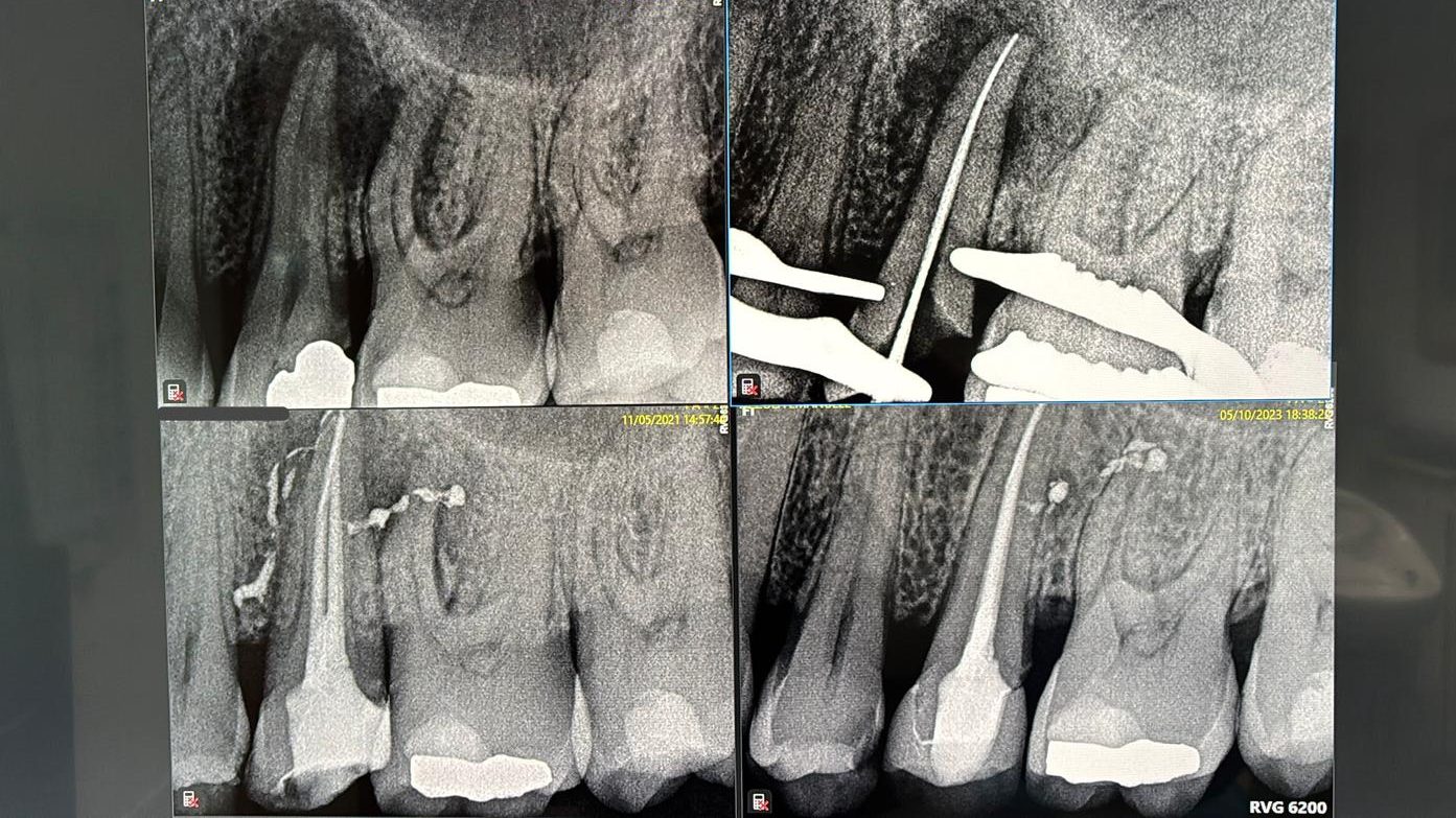
Radiografie endorali digitali

Mentre per quanto riguarda le immagini radiologiche intraorali l’utilizzo di un’apparecchiatura digitale permette di ridurre drasticamente l’ esposizione ai raggi X.
TAC e panoramico

Per visite più complete: zero tempi di attesa e trattamenti più adatti ad ogni paziente.
Approccio totalmente digitale: riduzione emissione raggi X.
Più veloce: in pochi minuti l’esame viene visualizzato a video dall’odontoiatra.
Ecologico: no stampe da archiviare.
Sicurezza
La sicurezza e il rispetto delle norme igieniche all’interno dello Studio Dentistico Il Corniolo hanno contribuito allo sviluppo di metodologie di controllo e tecniche di decontaminazione e disinfezione di elevata funzionalità.
Lo studio è inoltre dotato di lampade UVC in tutti i locali, che permettono la decontaminazione dell’aria durante le ore di chiusura al pubblico.